Atualmente, a Medicina Dentária não se limita ao tratamento das doenças orais. Também previne o seu aparecimento e promove a saúde. E estes são, também, os objetivos da Higiene Oral, que promove a saúde dos dentes e das gengivas.
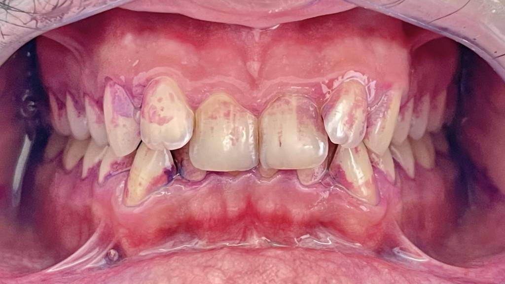
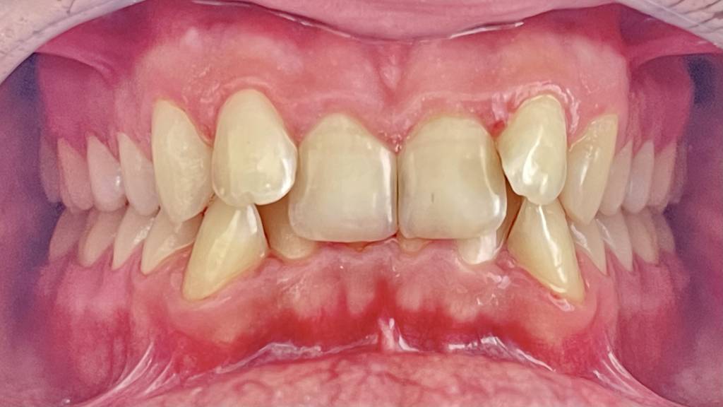
Apesar da importância dos cuidados diários de higiene oral, é fundamental que, periodicamente, seja feita uma limpeza profissional no consultório dentário, para eliminar a placa bacteriana e o tártaro mais a fundo do que é possível fazer em casa.
🦷 “Higiene oral rigorosa é essencial para a saúde dentária a longo prazo.”
Na Clínica Dentária Pedral, seguimos o protocolo GBT — Guided Biofilm Therapy (em português, Terapia Guiada por Biofilme), que consiste num tratamento minimamente invasivo e totalmente seguro.
Este método inovador veio transformar a experiência do paciente na consulta. Trocaram-se os métodos convencionais, normalmente associados à sensibilidade, à vibração, ao frio, ao sabor desagradável e ao som dos instrumentos por um sistema revolucionário e moderno, relacionado com a uma Saúde Oral duradoura e indolor.


Desta forma, é possível oferecer o mais alto padrão de tratamento de forma minimamente invasiva, evitando o desconforto do paciente.
Além disso, todos os estudos já realizados mostram que o protocolo GBT permite realizar o tratamento sem qualquer dano para os dentes, coroas, implantes ou tecidos moles.
🪥 “Prevenir doenças orais começa com uma rotina de higiene bem orientada.”




